Centro de Microscopia Eletrônica - UFMG
 |
| Microvilosidades, complexo unitivo e aspectos do citoplasma de célula absortiva intestinal (enterócito) de camundongo. |
 |
| Microvilosidades, complexo unitivo e mitocôndria em célula absortiva intestinal (enterócito) de camundongo. |
 |
| Microvilosidades e complexo unitivo em célula absortiva intestinal (enterócito) de camundongo. |
 |
| Inervação e detalhes do interior de célula de glândula salivar de camundongo. |
 |
| Grãos-de-secreção em célula de glândula salivar de camundongo. |
 |
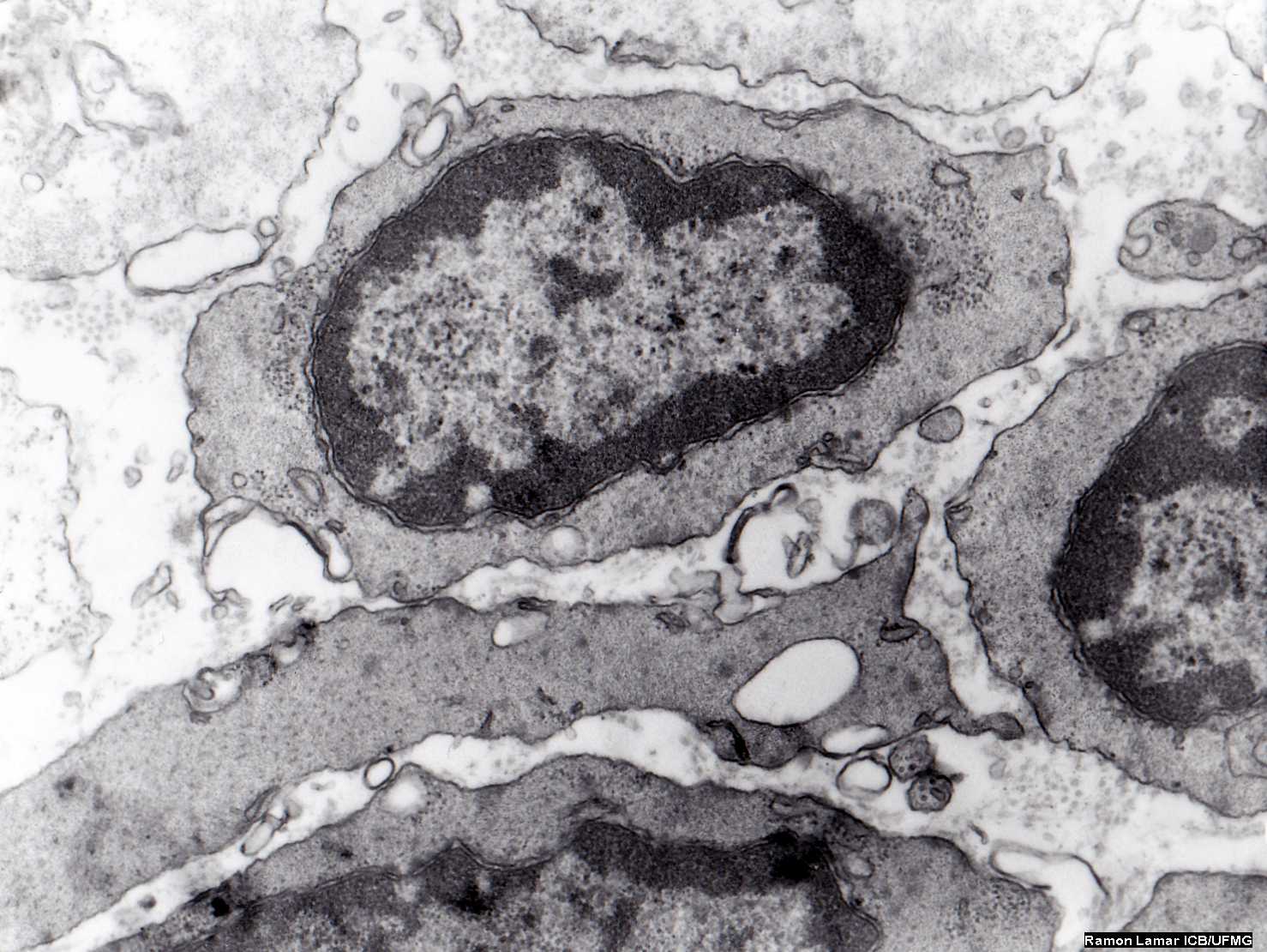
| Células musculares lisas de camundongo em corte longitudinal. |
 |
| Células musculares lisas de camundongo em corte transversal. |
 |
| Espermiogênese em mandi-amarelo observando-se núcleo, formação da peça intermediária, ausência de acrossomo e flagelo em corte longitudinal e transversal (abaixo à direita). [Clique nas imagens para ampliar] |
Imagens: Ramon Lamar de Oliveira Junior
Key words: mouse, cell, intestine, smooth muscle, salivary gland, microvilli, mitochondria, endoplasmic reticulum, catfish, flagellum, transmission electron microscopy, photo, picture, eletronmicrography
Ramon parabéns pelo conteúdo, realmente de grande valor informativo. Caso queira republicar seu conteúdo para meu publico, as portas estão abertas para você no blog www.lojaroster.com.br/blog
ResponderExcluirAbraços e até logo.